Sonrisas brillantes...
viernes, 7 de noviembre de 2014
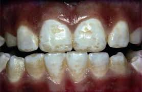
la Fluorosis dental: no sólo un problema estético
la Fluorosis dental: no sólo un problema estético
No hay comentarios:
Publicar un comentario
Entrada más reciente
Entrada antigua
Inicio
Suscribirse a:
Enviar comentarios (Atom)
No hay comentarios:
Publicar un comentario